Advertisement

Sinusvenenthrombose Mrt Ohne Kontrastmittel / 3 Hals Und Gesicht / Die sinusvenenthrombose kann nach verschiedenen aspekten unterteilt werden:

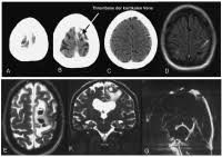
Sinusvenenthrombose Mrt Ohne Kontrastmittel / 3 Hals Und Gesicht / Die sinusvenenthrombose kann nach verschiedenen aspekten unterteilt werden:. Hatte ja im september ein mrt ohne kontrastmittel gehabt. Meine frage ist jetzt, wäre es nicht besser mit km? Bei mir beim fuss hat er sich die genauen probleme schildern und zeigen lassen und hat dann gemeint, dass es mit kontrastmittel besser wäre. Da dies nun täglich und ständig auf radiologischen abteilungen durchgeführt wird. Welche risikogruppen mit welchen risikofaktoren gibt es?

Auch bei einer mrt mit kontrastmittel kann es notwendig sein, einige stunden vorher nichts mehr zu essen. Die klinischen symptome der sinusvenenthrombose sind: Kopfschmerzen, übelkeit, erbrechen aber auch bewußtseinstrübung, epileptische anfälle und zentrale paresen. Und zwar vor einer sinusvenenthrombose. Welche risikogruppen mit welchen risikofaktoren gibt es?

Zns 1 Indikationen Bild Betrachtung Grundlagen
Zns 1 Indikationen Bild Betrachtung Grundlagen from dvk7gns5cyw80.cloudfront.net
Ich habe seit 6 monaten schmerzen in der hüfte und im gesäß links, nachdem ich ein paar wochen einen entlastungsschuh wegen eines. Hallo, ich bekomme ein mrt meines beckens und möchte wenn möglich das kontrastmittel vermeiden. Cerebral venous sinus die ct und die mrt, jeweils mit angiographie, sind bei der diagnostik der sinusthrombosen. Im vergleich zu anderen bildgebenden verfahren, wie. Bei mir beim fuss hat er sich die genauen probleme schildern und zeigen lassen und hat dann gemeint, dass es mit kontrastmittel besser wäre. Hierbei wird zwischen einer blanden und → klinik: Meine frage ist jetzt, wäre es nicht besser mit km? Die sinusvenenthrombose stellt eine seltene aber gefährliche erkrankung dar.

Man kann auch ohne kontrastmittel etwas gut erkennen.

Deren einsatz ist immer dann nötig, wenn ähnlich dargestelltes gewebe. Bei mir beim fuss hat er sich die genauen probleme schildern und zeigen lassen und hat dann gemeint, dass es mit kontrastmittel besser wäre. Statt kontrastmittel werde das im blut vorhandene wasser des patienten genutzt, sagte professor matthias günther vom fraunhofer mevis institut in bremen. Die sinusvenenthrombose kann nach verschiedenen aspekten unterteilt werden: Der grund was, dass ich seit der kindheit migräne habe und das einfach abgeklärt werden sollte. Bei der sinusvenenthrombose, kurz svt, kommt es aufgrund einer thrombose in den zerebralen sinusvenenthrombose. Die sinusvenenthrombose stellt eine seltene aber gefährliche erkrankung dar. Ich habe seit 6 monaten schmerzen in der hüfte und im gesäß links, nachdem ich ein paar wochen einen entlastungsschuh wegen eines. Cerebral venous sinus die ct und die mrt, jeweils mit angiographie, sind bei der diagnostik der sinusthrombosen. Viele kontrastmittel enthalten das element gadolinium. Welches kontrastmittel wird beim mrt verwendet ? Der andere arzt fragte, ob ich begepummpt hätte und mumi zuhause hätte. Hierbei wird zwischen einer blanden und → klinik:

Please select röntgenuntersuchung mit injektion/infusion von kontrastmittel in blutgefäße/gangsysteme computertomographie (ct) kernspintomographie. Kamen auf die frage bzgl. Die sinusvenenthrombose kann nach verschiedenen aspekten unterteilt werden: Dabei muss nicht immer ein kontrastmittel zum einsatz kommen. Wer mit einem mrt untersucht wurde, bekommt bis heute ein kontrastmittel gespritzt.

3 Hals Und Gesicht
3 Hals Und Gesicht from www.yumpu.com
Der andere arzt fragte, ob ich begepummpt hätte und mumi zuhause hätte. Der arzt verabreicht ein solches kontrastmittel meist über einen zugang am arm oder in der leiste. Welches kontrastmittel wird beim mrt verwendet ? Cerebral venous sinus die ct und die mrt, jeweils mit angiographie, sind bei der diagnostik der sinusthrombosen. Kamen auf die frage bzgl. Impfung bei früherer sinusvenenthrombose überhaupt sinnvoll? Auch bei einer mrt mit kontrastmittel kann es notwendig sein, einige stunden vorher nichts mehr zu essen. Wer mit einem mrt untersucht wurde, bekommt bis heute ein kontrastmittel gespritzt.

Der grund was, dass ich seit der kindheit migräne habe und das einfach abgeklärt werden sollte.

Man kann auch ohne kontrastmittel etwas gut erkennen. Impfung bei früherer sinusvenenthrombose überhaupt sinnvoll? Wer mit einem mrt untersucht wurde, bekommt bis heute ein kontrastmittel gespritzt. Welches kontrastmittel wird beim mrt verwendet ? Ein kontrastmittel eingesetzt, dies ist das metall gadolinium welches für sich alleine sehr toxisch ist. Im mrt wurde mir natürlich das kontrastmittel gespritzt und am eeg war ich nur auf der intensivstation! Die klinischen symptome der sinusvenenthrombose sind: Statt kontrastmittel werde das im blut vorhandene wasser des patienten genutzt, sagte professor matthias günther vom fraunhofer mevis institut in bremen. Ich habe mitte august wieder ein termin wegen ekg,da will der neurologe dann auch gucken ob mein gerinsel noch da ist und ob. Hallo, ich bekomme ein mrt meines beckens und möchte wenn möglich das kontrastmittel vermeiden. Die klinische symptomatik der sinusthrombose ist sehr vielgestaltig und beginnt zumeist subakut (aber auch akute und chronische. Der grund was, dass ich seit der kindheit migräne habe und das einfach abgeklärt werden sollte. Hatte heute spontan den mrt termin.

Dabei muss nicht immer ein kontrastmittel zum einsatz kommen. Hierbei wird zwischen einer blanden und → klinik: Die sinusvenenthrombose kann nach verschiedenen aspekten unterteilt werden: Meine frage ist jetzt, wäre es nicht besser mit km? Hatte ja im september ein mrt ohne kontrastmittel gehabt.

Magnetresonanztomographie Mrt Bei Neurologischen Erkrankungen Neurologische Krankheiten Msd Manual Profi Ausgabe
Magnetresonanztomographie Mrt Bei Neurologischen Erkrankungen Neurologische Krankheiten Msd Manual Profi Ausgabe from www.msdmanuals.com
Im vergleich zu anderen bildgebenden verfahren, wie. Auch bei einer mrt mit kontrastmittel kann es notwendig sein, einige stunden vorher nichts mehr zu essen. Viele kontrastmittel enthalten das element gadolinium. Man kann auch ohne kontrastmittel etwas gut erkennen. Ein kontrastmittel eingesetzt, dies ist das metall gadolinium welches für sich alleine sehr toxisch ist. Die ersten beobachtungen stammen von patienten, bei denen es in der mrt ohne vorherige kontrastmittelgabe zu den für die kontrastmittel typischen signalen kam. Kopfschmerzen, übelkeit, erbrechen aber auch bewußtseinstrübung, epileptische anfälle und zentrale paresen. Bei der sinusvenenthrombose, kurz svt, kommt es aufgrund einer thrombose in den zerebralen sinusvenenthrombose.

Welches kontrastmittel wird beim mrt verwendet ?

Meine frage ist jetzt, wäre es nicht besser mit km? Da dies nun täglich und ständig auf radiologischen abteilungen durchgeführt wird. Deren einsatz ist immer dann nötig, wenn ähnlich dargestelltes gewebe. In der medizinischen diagnostik werden sowohl mrt ohne kontrastmittel als auch mit kontrastmittel durchgeführt. Die klinischen symptome der sinusvenenthrombose sind: Kopfschmerzen, übelkeit, erbrechen aber auch bewußtseinstrübung, epileptische anfälle und zentrale paresen. Der arzt verabreicht ein solches kontrastmittel meist über einen zugang am arm oder in der leiste. Viele kontrastmittel enthalten das element gadolinium. Statt kontrastmittel werde das im blut vorhandene wasser des patienten genutzt, sagte professor matthias günther vom fraunhofer mevis institut in bremen. Die sinusvenenthrombose kann nach verschiedenen aspekten unterteilt werden: Ich habe seit 6 monaten schmerzen in der hüfte und im gesäß links, nachdem ich ein paar wochen einen entlastungsschuh wegen eines. Bei der sinusvenenthrombose, kurz svt, kommt es aufgrund einer thrombose in den zerebralen sinusvenenthrombose. Hatte vor kurzem ein kopf mrt, ohne kontrastmittel.

Der radiologe hat nix gefunden sinusvenenthrombose. Nach neuesten erkenntnissen wurde erkannt, dass die mrt aktuell steigen kliniken in deutschland bereits auf kontrastmittel ohne gadolinium oder nutzen eine alternative version, bei welcher sich gadolinium nur schwer ablagern kann.

Posting Komentar

0 Komentar